齲蝕、歯周病の正確な診査、診断のためには精密なレントゲン写真がかかせません。
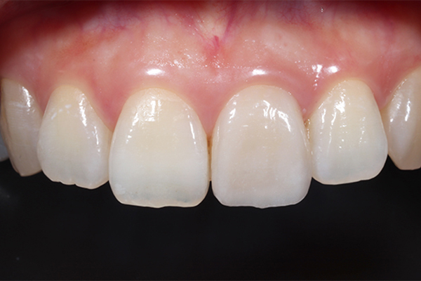
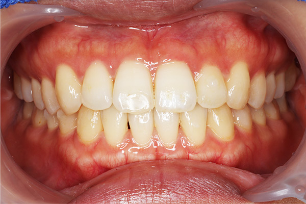
また、患者さんの術前、術後の状態を患者さんにも分かるように説明できるツールとして口腔内写真9枚法はとても重要です。
さらにはこれら2つの資料は自身の治療を再評価し、改善をして治療技術や予防システムの向上につなげるためにも必須のものです。
当院では初診の患者さんすべてに口腔内写真法を、全顎的な治療になる患者さんすべてにデンタル10枚法を撮影しています。

補綴治療
咬合再構成も含めた審美的な補綴治療を学べます。

矯正治療
ワイヤー矯正やマウスピースを使用したインビザライン矯正など、矯正専門ドクターが在籍しているので、幅広く専門的に学ぶことができます。

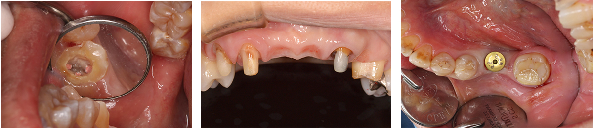
インプラント治療
CTシミュレーションシステムを用いた最先端のデジタルインプラント治療を学ぶことができます。





齲蝕、歯周病の正確な診査、診断のためには精密なレントゲン写真がかかせません。
また、患者さんの術前、術後の状態を患者さんにも分かるように説明できるツールとして口腔内写真9枚法はとても重要です。
さらにはこれら2つの資料は自身の治療を再評価し、改善をして治療技術や予防システムの向上につなげるためにも必須のものです。
当院では初診の患者さんすべてに口腔内写真法を、全顎的な治療になる患者さんすべてにデンタル10枚法を撮影しています。

最近はインプラントや矯正、高度先進医療に注目が行きがちですが、それらの治療は齲蝕や歯周病のリスクコントロールが無い口腔内に行ったのでは永続性が高い治療とは言えません。
当院では口腔内で最もありふれた病気であり、且つ歯を喪失するほとんどの原因である齲蝕、歯周病のリスクコントロールを患者さんと二人三脚で行っていくことを診療のベースとしています。

マイクロスコープを使用した”肉眼では見えないものが見える”超精密治療の経験を積むことは、治療技術を向上させる上でとても重要です。
マイクロスコープを使用した根管治療、保存修復治療、バイタルパルプセラピーなど様々な分野の治療で活躍しています。

当院では神経の治療に限らず、虫歯の治療などあらゆる診療で可能な限りラバーダム防湿を行っています。
日本ではまだラバーダム防湿を行っている歯科医院はわずかで、世界的にはスタンダードであり、歯科治療で重要な精度と安全を追求する上で、感染を未然に防ぐためのラバーダム防湿を行うことは歯科医師の責務だと考えています。

予知性の高い治療を行うために、口腔内の状態を正確に把握した上で適切な方針決定をすることは大変重要です。
だからこそ、従来の二次元レントゲンでは不可能な立体での把握で予知性の高い診断を可能にし、インプラント治療や歯科矯正治療などの高度治療のシミュレーションにも貢献する歯科用CTを導入しています。




〒567-0032
大阪府茨木市西駅前町5-21 津田ビル1F
〒567-0828
大阪府茨木市舟木町5-12 ホワイトビル1F
〒569-0802 大阪府高槻市北園町13-28
北園町SAKURA BLD.
〒662-0912 兵庫県西宮市松原町
4-1西宮ステーションビル1F
〒542-0076 大阪府大阪市中央区難波
3-8-9 なんばマルイ2F
〒530-0001 大阪府大阪市
北区梅田1丁目13番1号
大阪梅田ツインタワーズ・サウス13階
〒542-0086 大阪府大阪市
中央区西心斎橋1-5-5
アーバンBLD心斎橋4F
〒602-0872
京都市上京区駒之町561-4
河原町スカイマンション1F
〒802-0077
福岡県北九州市小倉北区馬借2-6-11
オリエントトラストタワー北九州1F
〒572-0020
大阪府寝屋川市田井西町19-17
〒780-0972
高知県高知市中万々814-4
〒530-0041
大阪府大阪市北区天神橋3丁目8-14
フェスタ天神2F